Marque sua consulta
Insira seus dados no formulário e entraremos em contato.
- FALE PELO WHATSAPP (51) 98446-1749
- MANDE UM E-MAIL: contato@rcodontologia.com.br
Clareamento dental
As técnicas de clareamento são indicadas para os dentes que ficaram amarelados ou escuros em decorrência do tempo. Na medida em que as pessoas vão ficando mais velhas, os dentes tendem a ir escurecendo gradativamente. Embora a maioria das pessoas que procure por esses tratamentos tenha mais de 30 anos, não existe restrição de idade, podendo ser feito até por adolescentes.
Existem dois tipos de clareamento: o primeiro tipo é o caseiro, feito com gel clareador. Esta técnica requer comprometimento e dedicação do paciente. O tempo de tratamento depende do grau de escurecimento dos dentes e do nível de clareamento que se quer atingir.
A outra técnica é o laser, mais rápido e prático. É feito no consultório do dentista. Além disso, o tratamento é associado à Laserterapia, para que o paciente não apresente sensibilidade. A vantagem do uso do laser é o fato de não apresentar desconforto durante o tratamento.
Marque sua consulta pelo WhatsApp
Como funciona o clareamento dental
O clareamento dental é obtido por meio de um gel que libera oxigênio. Este, por sua vez, penetra na intimidade do esmalte e da dentina quebrando as moléculas dos pigmentos causadores do escurecimento dental, liberando assim as manchas. A eficiência do resultado e manutenção do branqueamento dependem das condições individuais e da observação e cumprimento das recomendações do cirurgião-dentista.
Clareamento Caseiro
É a técnica onde o paciente usará uma moldeira durante a noite com o uso de gel clareador. O tratamento pode durar de 2 a 3 semanas e terá um ótimo resultado. É utilizado um kit com tubetes clareadores para você levar para casa e seguir as recomendações do dentista. Fatores relacionados ao estilo de vida do paciente como fumar e consumir excessivamente bebidas e alimentos com muitos pigmentos (corantes), podem diminuir a duração do tratamento. Converse com seu dentista para mais informações sobre o melhor método de clareamento para você.
Clareamento a Laser
O clareamento a laser é uma maneira efetiva de remover manchas rapidamente. Aliás, a American Academy of Cosmetic Dentistry, academia americana de odontologia cosmética, diz que os procedimentos de clareamento a laser podem branquear os dentes do paciente em até 10 tons no período de uma hora. O procedimento é realizado no consultório odontológico, então você deve consultar seu dentista caso tenha interesse neste procedimento.
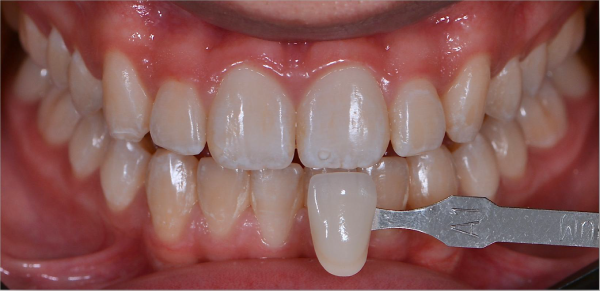
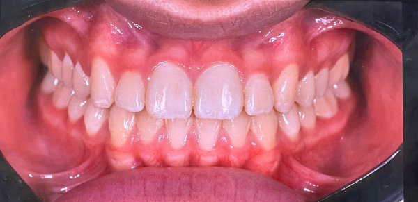
Antes e Depois
Marque sua consulta pelo WhatsApp
Meu dente está escurecido. E agora?
Mudança de cor do dente é um acontecimento natural. Esse processo acontece devido à própria estrutura do dente. O escurecimento dos dentes se dá pelo desgaste da parte externa (esmalte), traumas sofridos no dente, além da necrose pulpar (morte do dente). O tratamento, dependendo do caso, poderá ser através de uma faceta em resina composta.
Dúvidas frequentes sobre Clareamento Dental
Qualquer pessoa pode ter seus dentes clareados, desde que eles estejam íntegros e sem muitas restaurações. Realizamos uma boa avaliação de sua condição dental como orientação para o tratamento.
Existem algumas maneiras de clarear os dentes:
1- No consultório, o dentista isola os dentes para proteger a gengiva e aplica o gel clareador de uso profissional e exclusivo.
2- Em casa (doméstico), sob orientação profissional, o paciente aplica o gel em uma moldeira de silicone feita a partir de sua arcada dentária.
3- No consultório, através do clareamento a laser.
Nenhum tratamento clareador pode ser utilizado sem orientação profissional. Em todos os casos, o tratamento deve ser monitorado pelo dentista que também indicará a melhor técnica de clareamento ao seu caso.
Depende do caso de cada paciente, do grau de escurecimento e do quanto deseja clarear. Nós iremos orientá-lo e daremos uma previsão do tempo do seu tratamento.
Sim. Os produtos devem ser industrializados, pois as empresas que fabricam o gel clareador estão respaldadas por pesquisas, testes, experiências, atendimento profissional e domínio da composição.
É muito importante que o profissional demonstre ao paciente a quantidade de gel que deve ser dispensada na placa. Geralmente uma gota de gel em cada dente da moldeira é suficiente.
Há casos de hipersensibilidade após o tratamento. Nestes casos, deve-se fazer o uso de agentes dessensibilizantes. Em todos os casos recomendamos o uso de pastas dentais dessensibilizantes previamente ao clareamento.
Não. Talvez seja necessário trocar as restaurações estéticas existentes, pois elas não sofrem ação dos clareadores e podem parecer mais escuras em relação aos dentes clareados.
Recomenda-se evitar ingestão de bebidas ou alimentos ácidos durante o tratamento porque estas podem causar aumento de sensibilidade nesse período. Bebidas ou alimentos fortemente corados também devem ser evitados para que não haja comprometimento do processo de clareamento.
Mais do que nunca as pessoas estão buscando opções de clareamento dentário para ter um sorriso mais branco e mais brilhante e melhorar a aparência geral. Você junto com o seu dentista deve avaliar a aparência atual de seus dentes e, em seguida, escolher a opção certa para você.
Há dois tipos de manchas que podem ocorrer nos dentes. O primeiro é a mancha intrínseca, isto é, aquela que se desenvolve no interior do dente. As manchas intrínsecas podem decorrer do uso de antibióticos durante a formação do dente, seja in utero ou durante a infância, e à exposição ao flúor excessivo quando criança. As manchas extrínsecas são causadas por bebidas, como o chá e o café, pelo avanço da idade, pelo desenvolvimento da placa bacteriana e do tártaro e pelo uso do tabaco.
O uso do tabaco inclui os cigarros e o fumo de mascar. Os cigarros e o fumo de mascar contêm muitas substâncias cancerígenas que podem levar a doenças graves na boca: câncer de boca e faringe, câncer de pulmão, alterações de tecido das bochechas e da gengiva. A consequência do uso do tabaco são as manchas nos dentes e o acúmulo de placa bacteriana e do tártaro.
Existem muitos aspectos a considerar quando se deseja clarear os dentes. Você pretende fazer o clareamento em casa? Ou pretende fazê-lo em consultório com a ajuda de um profissional? Antes de decidir é uma boa ideia consultar um dentista, pois ele pode determinar o tipo de manchas em seus dentes e ajudar a escolher a melhor opção de tratamento para você.
O clareamento dura algum tempo, e cada caso tem sua particularidade, podendo haver a necessidade de manutenção em um ou dois anos após o tratamento.
